After an intense two weeks of finals, I spent the first few days of the break here in Florida with my friends from National. We all went to the beach for a little fun in the sun and to relax after a very stressful trimester.

After spending a few days in Florida, I went home to New Jersey and saw my friends and family! We went to a professional baseball game (go Mets!), went out to eat, and enjoyed the last week of summer at the Jersey shore.

After a much-needed break, I am happy to be back in Florida and continuing my education. This trimester’s classes are already fascinating! We learned lumbar spine palpation in manipulation class and we began practicing on one another on the first day. It is great that we had spine and extremities anatomy in our first trimester because we are able to apply the information in a practical setting. Besides manipulation, I am taking…
- Medical Microbiology I
- Systems Pathology I
- Histology and Embryology II
- Evaluation & Management of the Abdomen, Pelvis and Lumbar Spine
- Neuroendocrinology, GI & Reproductive Physiology
- Whole Health Concepts & Philosophical Perspectives
- Nutritional Biochemistry I
- Thorax, Abdomen & Pelvic Anatomy
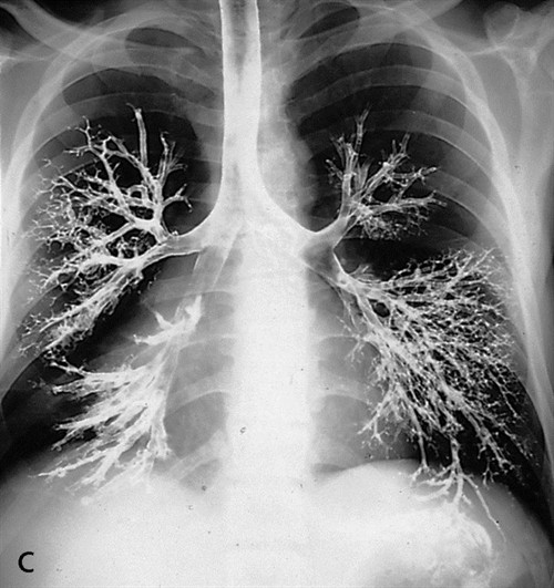
In anatomy lab we started dissection of the thorax. It was fascinating! We saw the mediastinum, the heart and the lungs. We followed this up in the lecture by discussing the anatomy of the lungs and looking at a bronchogram. I wanted to include this picture because it amazed me. The bronchi reminded me of the roots of a tree. And just like the roots of the tree, the bronchi are essential to our vitality as they allow us to intake oxygen during breathing.

A bronchogram is an X-ray taken after the patient receives an intravenous injection of a radiopaque substance. That substance allows us to see the area injected because the X-rays cannot pass through it. Bones are projected on an X-ray because X-rays cannot pass through them. We also mentioned the patient position for a chest X-ray.

It was a brief review of information we learned last trimester in radiology. The patient has to stand facing the film or cassette for a chest X-ray. We want the patient positioned so what we want to see is closest to the film or cassette.
That’s all for this week!
If you have any questions feel free to email me at [email protected]