Klippel-Feil Syndrome is a rare disorder that we learn about in many of our radiology classes. It is when two or more vertebrae in the neck are fused together from birth. People diagnosed with this syndrome may present with a short neck and limited movement, along with pain.
The most common symptoms of Klippel-Feil syndrome include a short neck and low hairline at the back of the head, limited movement affecting primarily the face, neck, upper body, and back, pain located in the head, neck or back, and hearing loss. Mutations in the GDF6 or GDF3 genes are associated with the development of this disorder. Tests can be performed at birth to determine if the disorder is mild or more severe, which will help determine the necessary treatment.

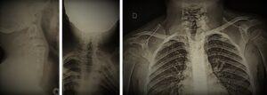
Diagnostic imaging examples of Klippel-Feil Syndrome and Sprengel Deformity, differing views.
Sprengel deformity is commonly associated with Klippel-Feil Syndrome, and is a rare congenital disorder in which the scapula is too high on one side of the body. The main signs and symptoms of Sprengel deformity are limited or restricted movement of the arm and shoulder blade, as well as the cervical spine. Some individuals may present with neck deformities as well, ranging from torticollis to severe spine deformity. CT scans and MRI are commonly used to confirm a diagnosis of Sprengel deformity.
The treatment for Sprengel deformity depends on the severity of the abnormality. For mild deformities, nonsurgical options such as chiropractic care and physical therapy are most beneficial. Moderate and severe deformities are candidates for surgical intervention. Although both Klippel-Feil syndrome and Sprengel deformity are rare disorders, it is important to have knowledge regarding the treatment of both, as more mild individuals may come into our office for conservative care.
Meet some of NUHS’ chiropractic graduates here, and learn about the Master of Science in Diagnostic Imaging here.